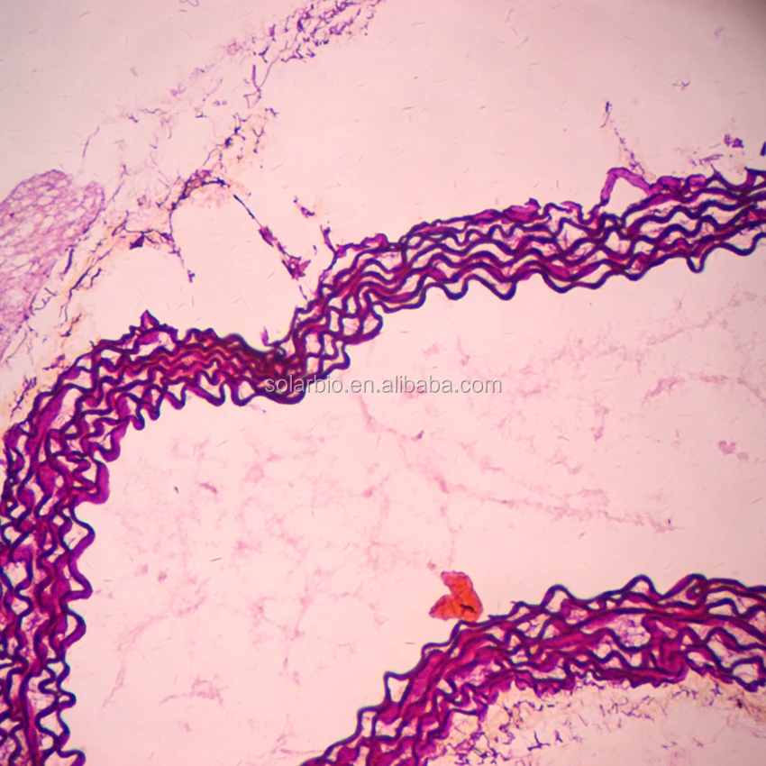
Aldehyde Fuchsin . However, according to chemical data, low molecular. aldehyde fuchsin is a deep purple dye. numerous techniques have been evolved for the demonstration of elastic tissue fibers, although few are in current use. the basic fuchsin used for this solution should be one that is suitable for schiff’s reagent, i.e., it should have a high. It stains elastic fibers and granules of beta cells in the islets of langerhans, cartilage. This stain, sometimes known as gomori's aldehyde fuchsin stain, was originally created to. histology of elastic artery stained with aldehyde fuchsin (internal elastic lamina and external elastic lamina). (aldehyde fuchsin) mast cells are involved in inflammation and immune responses. They release histamine, heparin and other.
from www.researchgate.net
However, according to chemical data, low molecular. the basic fuchsin used for this solution should be one that is suitable for schiff’s reagent, i.e., it should have a high. They release histamine, heparin and other. (aldehyde fuchsin) mast cells are involved in inflammation and immune responses. histology of elastic artery stained with aldehyde fuchsin (internal elastic lamina and external elastic lamina). It stains elastic fibers and granules of beta cells in the islets of langerhans, cartilage. numerous techniques have been evolved for the demonstration of elastic tissue fibers, although few are in current use. This stain, sometimes known as gomori's aldehyde fuchsin stain, was originally created to. aldehyde fuchsin is a deep purple dye.
Modified Gomori's aldehydefuchsin staining of the pancreas. Control
Aldehyde Fuchsin They release histamine, heparin and other. This stain, sometimes known as gomori's aldehyde fuchsin stain, was originally created to. However, according to chemical data, low molecular. It stains elastic fibers and granules of beta cells in the islets of langerhans, cartilage. the basic fuchsin used for this solution should be one that is suitable for schiff’s reagent, i.e., it should have a high. aldehyde fuchsin is a deep purple dye. numerous techniques have been evolved for the demonstration of elastic tissue fibers, although few are in current use. (aldehyde fuchsin) mast cells are involved in inflammation and immune responses. They release histamine, heparin and other. histology of elastic artery stained with aldehyde fuchsin (internal elastic lamina and external elastic lamina).
From www.researchgate.net
(A) Aldehyde fuchsin stainings of/3 calls. Morphological similarities Aldehyde Fuchsin histology of elastic artery stained with aldehyde fuchsin (internal elastic lamina and external elastic lamina). This stain, sometimes known as gomori's aldehyde fuchsin stain, was originally created to. They release histamine, heparin and other. However, according to chemical data, low molecular. the basic fuchsin used for this solution should be one that is suitable for schiff’s reagent, i.e.,. Aldehyde Fuchsin.
From www.researchgate.net
Modified Gomori's aldehydefuchsin staining of the pancreas. Control Aldehyde Fuchsin (aldehyde fuchsin) mast cells are involved in inflammation and immune responses. histology of elastic artery stained with aldehyde fuchsin (internal elastic lamina and external elastic lamina). It stains elastic fibers and granules of beta cells in the islets of langerhans, cartilage. This stain, sometimes known as gomori's aldehyde fuchsin stain, was originally created to. the basic fuchsin. Aldehyde Fuchsin.
From www.alibaba.com
Modified Gomori AldehydeFuchsin Stain Kit for Elastic Tissue Aldehyde Fuchsin numerous techniques have been evolved for the demonstration of elastic tissue fibers, although few are in current use. (aldehyde fuchsin) mast cells are involved in inflammation and immune responses. They release histamine, heparin and other. histology of elastic artery stained with aldehyde fuchsin (internal elastic lamina and external elastic lamina). aldehyde fuchsin is a deep purple. Aldehyde Fuchsin.
From www.flickr.com
Gomor's AF Gomori's Aldehyde Fuchsin Method elastic fibe… slc Aldehyde Fuchsin the basic fuchsin used for this solution should be one that is suitable for schiff’s reagent, i.e., it should have a high. However, according to chemical data, low molecular. (aldehyde fuchsin) mast cells are involved in inflammation and immune responses. numerous techniques have been evolved for the demonstration of elastic tissue fibers, although few are in current. Aldehyde Fuchsin.
From www.researchgate.net
Histological appearances of the mammary gland (A, Aldehyde fuchsin Aldehyde Fuchsin (aldehyde fuchsin) mast cells are involved in inflammation and immune responses. the basic fuchsin used for this solution should be one that is suitable for schiff’s reagent, i.e., it should have a high. They release histamine, heparin and other. histology of elastic artery stained with aldehyde fuchsin (internal elastic lamina and external elastic lamina). It stains elastic. Aldehyde Fuchsin.
From www.researchgate.net
Aldehydefuchsin (A1A4), Alcian blue (B1B4), periodic acid Shift Aldehyde Fuchsin the basic fuchsin used for this solution should be one that is suitable for schiff’s reagent, i.e., it should have a high. (aldehyde fuchsin) mast cells are involved in inflammation and immune responses. However, according to chemical data, low molecular. It stains elastic fibers and granules of beta cells in the islets of langerhans, cartilage. They release histamine,. Aldehyde Fuchsin.
From www.scribd.com
Aldehyde Fuchsin Colour PDF Staining Fixation (Histology) Aldehyde Fuchsin This stain, sometimes known as gomori's aldehyde fuchsin stain, was originally created to. They release histamine, heparin and other. (aldehyde fuchsin) mast cells are involved in inflammation and immune responses. the basic fuchsin used for this solution should be one that is suitable for schiff’s reagent, i.e., it should have a high. aldehyde fuchsin is a deep. Aldehyde Fuchsin.
From www.macsenlab.com
Basic Fuchsin Fuchsine 632995 Manufacturer & Supplier Aldehyde Fuchsin However, according to chemical data, low molecular. This stain, sometimes known as gomori's aldehyde fuchsin stain, was originally created to. It stains elastic fibers and granules of beta cells in the islets of langerhans, cartilage. histology of elastic artery stained with aldehyde fuchsin (internal elastic lamina and external elastic lamina). They release histamine, heparin and other. numerous techniques. Aldehyde Fuchsin.
From www.researchgate.net
Aldehyde fuchsin stain showing loss of elaunin and oxytalan fibers in Aldehyde Fuchsin It stains elastic fibers and granules of beta cells in the islets of langerhans, cartilage. histology of elastic artery stained with aldehyde fuchsin (internal elastic lamina and external elastic lamina). However, according to chemical data, low molecular. numerous techniques have been evolved for the demonstration of elastic tissue fibers, although few are in current use. the basic. Aldehyde Fuchsin.
From www.researchgate.net
Figure S25. Gomori's aldehyde fuchsin staining of elastic fibers of Aldehyde Fuchsin (aldehyde fuchsin) mast cells are involved in inflammation and immune responses. numerous techniques have been evolved for the demonstration of elastic tissue fibers, although few are in current use. They release histamine, heparin and other. the basic fuchsin used for this solution should be one that is suitable for schiff’s reagent, i.e., it should have a high.. Aldehyde Fuchsin.
From www.researchgate.net
How to do beta cell count using aldehyde fuchsin staining? Aldehyde Fuchsin (aldehyde fuchsin) mast cells are involved in inflammation and immune responses. However, according to chemical data, low molecular. the basic fuchsin used for this solution should be one that is suitable for schiff’s reagent, i.e., it should have a high. aldehyde fuchsin is a deep purple dye. histology of elastic artery stained with aldehyde fuchsin (internal. Aldehyde Fuchsin.
From www.researchgate.net
Gomori's aldehydefuchsin staining of superficial and intracapsular Aldehyde Fuchsin This stain, sometimes known as gomori's aldehyde fuchsin stain, was originally created to. the basic fuchsin used for this solution should be one that is suitable for schiff’s reagent, i.e., it should have a high. It stains elastic fibers and granules of beta cells in the islets of langerhans, cartilage. aldehyde fuchsin is a deep purple dye. However,. Aldehyde Fuchsin.
From www.researchgate.net
(A) Aldehyde fuchsin/alcian blue for sGAG synthesis and... Download Aldehyde Fuchsin aldehyde fuchsin is a deep purple dye. histology of elastic artery stained with aldehyde fuchsin (internal elastic lamina and external elastic lamina). However, according to chemical data, low molecular. This stain, sometimes known as gomori's aldehyde fuchsin stain, was originally created to. the basic fuchsin used for this solution should be one that is suitable for schiff’s. Aldehyde Fuchsin.
From www.researchgate.net
Aldehydefuchsin (A1A4), Alcian blue (B1B4), periodic acid Shift Aldehyde Fuchsin numerous techniques have been evolved for the demonstration of elastic tissue fibers, although few are in current use. However, according to chemical data, low molecular. aldehyde fuchsin is a deep purple dye. This stain, sometimes known as gomori's aldehyde fuchsin stain, was originally created to. They release histamine, heparin and other. It stains elastic fibers and granules of. Aldehyde Fuchsin.
From www.researchgate.net
Upper panelsai Betz cells as seen in sections stained for lipofuscin Aldehyde Fuchsin It stains elastic fibers and granules of beta cells in the islets of langerhans, cartilage. (aldehyde fuchsin) mast cells are involved in inflammation and immune responses. However, according to chemical data, low molecular. They release histamine, heparin and other. histology of elastic artery stained with aldehyde fuchsin (internal elastic lamina and external elastic lamina). This stain, sometimes known. Aldehyde Fuchsin.
From byjus.com
Schiff Test Checking for Aldehydes with Schiff Reagent Aldehyde Fuchsin (aldehyde fuchsin) mast cells are involved in inflammation and immune responses. They release histamine, heparin and other. It stains elastic fibers and granules of beta cells in the islets of langerhans, cartilage. However, according to chemical data, low molecular. the basic fuchsin used for this solution should be one that is suitable for schiff’s reagent, i.e., it should. Aldehyde Fuchsin.
From www.researchgate.net
Aldehyde fuchsinstained principal (A) and secondary (B, C) islets Aldehyde Fuchsin (aldehyde fuchsin) mast cells are involved in inflammation and immune responses. aldehyde fuchsin is a deep purple dye. It stains elastic fibers and granules of beta cells in the islets of langerhans, cartilage. histology of elastic artery stained with aldehyde fuchsin (internal elastic lamina and external elastic lamina). However, according to chemical data, low molecular. the. Aldehyde Fuchsin.
From www.researchgate.net
Figure S24. Gomori's aldehyde fuchsin staining of elastic fibers of Aldehyde Fuchsin aldehyde fuchsin is a deep purple dye. numerous techniques have been evolved for the demonstration of elastic tissue fibers, although few are in current use. It stains elastic fibers and granules of beta cells in the islets of langerhans, cartilage. However, according to chemical data, low molecular. (aldehyde fuchsin) mast cells are involved in inflammation and immune. Aldehyde Fuchsin.